Чего нельзя делать после эндопротезирования
При развитии заболевания хрящ постепенно стирается и разрушается. Сокращается количество суставной жидкости. В связи с этим расстояние между впадиной и головкой уменьшается. Кость деформируется, появляются остеофиты. Костные отростки трутся один о другой, причиняя сильную боль. Со временем движение становится невозможными.
Восстановить сустав на последней стадии болезни невозможно, чем раньше выполнено протезирование, тем меньше риск остаться инвалидом. Операция сложная, проводится под регионарной спинномозговой анестезией. Огромное значение для дальнейшего здоровья пациента имеет процесс реабилитации.
Меры предосторожности при купании
Есть перечень ограничений, которых нужно придерживаться после проведения эндопротезирования:
- не мочить область раны проточной водой до момента снятия швов;
- первые две недели не рекомендуется длительное нахождение под душем;
- принимать ванну можно через несколько недель, после разрешения доктора;
- послеоперационный рубец нельзя травмировать, для мытья не использовать мочалку.
Конечно, без гигиенических процедур не обойтись. Мыться придется так, чтобы под повязку не попадала вода. В противном случае ее нужно сразу сменить на сухую. Следует помнить, что мокрые бинты это – опасность инфицирования шва.
Запрещенные позы для сна
После хирургической операции на протяжении 10 дней лежать и спать нужно на спине. Нельзя сильно сводить вместе конечности, класть одну ногу на другую. Подтягивать колени к груди, разворачивать резко ступни как наружу, так и внутрь. Запрещено ложиться на больную сторону или живот, это можно будет делать только через месяц. Чтобы воспрепятствовать запрещенному положению во сне, можно воспользоваться маленькой подушкой, укладывая ее меж коленей.
Предосторожности во время сидения
Садиться на кровать или стул нужно так, чтобы нога с протезом не сгибалась на угол менее 90°, в противном случае возможен вывих протеза. Нужно использовать высокий стул, типа барного, или обычную табуретку, подложив плотную подушку. Таз должен располагаться не менее чем на 10 см выше коленей. Не стоит садиться в кресло, на низкий стул или мягкий диван. Унитаз следует трансформировать, приспособив специальную возвышенность.
Запрещенные движения
Отменяются любые резкие повороты, которые могут спровоцировать вывих сустава. Нельзя бегать, прыгать, а также:
- полусидеть на мягком основании;
- закидывать ногу на ногу;
- приседать и оставаться на корточках;
- становиться на колени;
- забираться с ногами на стул или другую высокую мебель;
- сгибаться, наклоняясь к полу.
Следует вести себя с осторожностью, чтобы не споткнуться или упасть. Передвигаться медленно и аккуратно
Особенно внимательным нужно быть на улице в зимний период. В ванной использовать противоскользящий коврик.
Нельзя подолгу стоять и ходить. Увеличивать нагрузку нужно постепенно. Обувь должна быть на низком каблуке
Важно помнить, что лишний килограмм веса это утяжеление для больной ноги и уменьшение срока эксплуатации протеза
Как возвратиться к привычной активности
Так как эндопротезирование связано с потерей большого количества крови, после операции больному необходима донорская кровь. В дальнейшем лечение направлено на восстановление нормального кровообращения. Последующая реабилитация подразумевает восстановление работоспособности больной ноги. Через три месяца, кроме лечебной физкультуры, можно постепенно заниматься спортом. Это ходьба, плавание, некоторые виды танцев.
Эндопротезирование (замена) тазобедренного сустава — где лучше делать в Москве?
Чтобы снизить вероятность развития послеоперационных осложнений, возможных из-за недостаточной компетентности хирурга, стоит обратиться в одну из лучших клиник в Москве, где операцию проведут на высшем уровне, что позволит быстрее восстановиться после эндопротезирования (замены) тазобедренного сустава. Прооперироваться можно в одной из клиник, много лет практикующих эндопротезирование тазобедренного сустава в Москве:
- 31 ГКБ;
- ЦИТО;
- Боткинская больница.
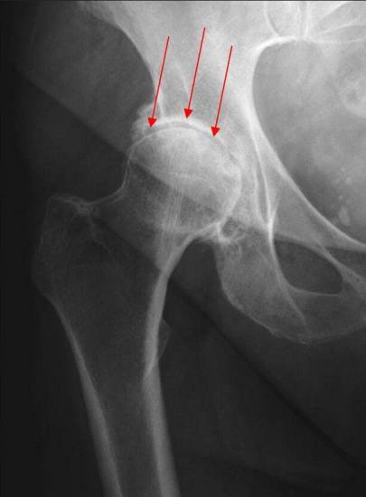
1. Коксартроз — это артроз тазобедренного сустава, причиной которого часто служат дегенеративные изменения связанные с возрастом. «Возрастной» износ сустава встречается у людей старше 50 лет, часто имеющих семейную историю артрита. У таких пациентов истончается и повреждается хрящевая поверхность, возникает трение костей в суставе, что приводит к их повреждению. Степень разрушений в суставе влияет на выраженность боли и ограничение подвижности.
2. Асептический некроза головки бедренной кости — это разрушение головки бедренной кости в результате нарушения кровообращения внутри кости. Отсутствие должного притока крови приводит к разрушению поверхности кости и преждевременному износу сустава.
3. Ревматоидный артрит — аутоиммунное заболевание, при котором возникает хроническое воспаление синовиальной оболочки сустава, что приводит к нехватке смазки необходимой для нормального скольжения поверхностей и служит причиной постепенного разрушения сустава.
4. Перелом шейки бедра у пациентов в пожилом возрасте является причиной замены тазобедренного сустава на искусственный эндопротез.
5. Дисплазия тазобедренного сустава — несмотря на то, что проблема успешно лечится в детском возрасте, в будущем заболевание может являться причиной коксартроза, при котором возникает необходимость замены сустава.

6. Повторное эндопротезирование иногда встречается в нашей практике. Нестабильность сустава после выполненной операции и не точно установленный эндопротез — являются наиболее частыми факторами приводящими к повторной замене сустава. Именно по этой причине мы рекомендуем только лучших ортопедов и специализированные клиники в России и за рубежом.
Случай из нашей практики, говорит о возможности повторного эндопротезирования тазобедренного сустава у пациента с выявленной инфекцией костной ткани и нестабильностью установленного эндопротеза. Мы успешно решили эти две проблемы, направив пациента в немецкую клинику. Пациенту удалили старый эндопротез, установили новый временный спейсер с антибиотиком, провели консервативное лечение, а затем сделали операцию с использованием новейшего эндопротеза и компьютерной навигации (для обеспечения максимальной точности установки искусственного сустава).
Малоинвазивный способ
Оперировать технически намного проще, если операционная рана будет большой. Поэтому ортопеды-травматологи утверждают, что классическая процедура на крупных суставах, все же, в неоспоримом приоритете.
Во многих клиниках практикуют малоинвазивный подход, используя почти в 2 раза меньший разрез, чем при традиционном вмешательстве. Однако и передовые хирурги с достаточным опытом все больше сходятся во мнении, что лучше лишний раз не рисковать, а использовать проверенную, традиционно устоявшуюся тактику, стандарт протезирования – создавать аккуратный разрез с прямого бокового доступа, длиной приблизительно в 13 см.
Наглядное сравнение размеров разрезов при классической(справа) и малоинвазивной(слева) методике.
Тотальное эндопротезирование ТБС
“Врачи скрывают правду!”
Даже “запущенные” проблемы с суставами можно вылечить дома! Просто не забывайте раз в день мазать этим…
{amp}gt;
Преимущества тотального эндопротезирования:
- ликвидация болевого синдрома;
- восстановление двигательной функции;
- улучшение общего состояния и качества жизни больного.
Основная задача тотального эндопротезирования — устранить патологически измененный и разрушенный сустав, кость и хрящ, восстановить двигательную активность конечностей, вернуть прежнее качество жизни. Кандидаты на имплантацию тотального типа — получившие рекомендацию врача пациенты без ограничения по возрасту и массе тела. Чаще это больные от 60 до 85 лет. При грамотно проведенной операции, соблюдении всех предписаний осложнения бывают очень редко.
Современные протезы позволяют полностью моделировать родное подвижное соединение, достаточно долговечны: срок службы — 15-25 и даже 30 лет. При таком виде имплантации реабилитация будет длительней и потребует постоянного контроля врача.
Вопрос качества протеза волнует многих пациентов. Очень плохих не бывает. Лучше выберите хорошего врача.
Протез подбирается индивидуально в зависимости от заболевания. Эндопротезы изготавливаются двух типов — с наличием фиксации на цементной основе и на бесцементной. Первый вид предполагает фиксирование при помощи медицинского цемента, второй, более инновационный — кость оперируемого больного врастает в структуру имплантата.
{amp}gt;
Противопоказания
Эндопротезирование ТБС проводить можно не во всех случаях
Противопоказания к замене сустава делятся на абсолютные (операцию вообще нельзя делать) и относительные (с осторожностью и при определенных условиях)
К относительным противопоказаниям относятся:
- онколозаболевания;
- хроническая соматическая патология;
- печеночная недостаточность;
- избыточный вес (3 степень);
- гормональная остеопатия.
Абсолютный запрет на операцию в случае:
- невозможности самостоятельного передвижения (замена сустава нецелесообразна и только лишь увеличивает риск осложнений ввиду оперативного вмешательства);
- хронической сердечно-сосудистой патологии (сердечная недостаточность и тяжелые сердечные пороки, аритмии), нарушение мозгового кровообращения и декомпенсированная печеночно-почечная недостаточность (высок риск утяжеления состояния);
- заболеваний бронхолегочной системы, которые сопровождаются дыхательной и вентиляционной недостаточностью (астма, эмфизема, бронхоэктазы, пневмосклероз);
- воспалительных процессов в области ТБС (поражение кожи, мышц или костей);
- наличия очагов хронической инфекции, которые необходимо просанировать (кариозные зубы, тонзиллит, хронический гайморит или отит);
- недавно перенесенного сепсиса (3 – 5 лет до возможного вмешательства) – высок риск нагноения эндопротеза;
- множественной аллергии, особенно на лекарственные препарат;
- пареза или паралича ноги, которую необходимо оперировать;
- выраженного остеопороза и недостаточной прочности костной ткани (высоки шансы сломать ногу в районе бедра даже после идеально проведенной операции);
- отсутствия в кости бедра костномозгового канала;
- незрелости скелета;
- острых заболеваний сосудов ног (тромбофлебит или тромбоэмболия).
Бытовые вопросы
Обращаясь в частную клинику, пациент может рассчитывать на внимательное отношение, качественную медицинскую помощь и поддержку в ходе реабилитации.
Чтобы попасть на лечение, необходимо обратиться в администрацию медучреждения, направить необходимые документы, изучить варианты лечения и прибыть в указанный день.
Информацию об условиях обслуживания и иных организационных вопросах всегда можно получить в регистратурах или информационных отделах при клинике.
Список дополнительных услуг определяется клиентской политикой выбранного медучреждения, но практически все крупные центры в Москве и Петербурге идут навстречу своим пациентам во всем, что касается бытового и психологического комфорта.
Периоды реабилитации после замены тазобедренного сустава
Назначается операция по замене тазобедренного сустава при переломе шейки бедра, коксартрозе, остеонекрозе, ревматоидном артрите. Если раньше эти болезни означали инвалидность, то сейчас благодаря успешно проведенному лечению больной может восстановить функциональную активность суставов. Чтобы ускорить период реабилитации дома после эндопротезирования тазобедренного сустава, нужно следовать всем рекомендациям врача и регулярно выполнять специальные физические упражнения для ног. Каждый период восстановления требует соблюдения определенных правил.
Ранний период
Сразу после операции по эндопротезированию тазобедренного сустава пациент будет находиться под наблюдением врача
В этот период важно систематически отслеживать температуру тела, вовремя менять повязки, наблюдать за работой дыхательной и сердечно-сосудистой систем. Отек с ноги снимают при помощи компресса со льдом
Если это необходимо, врач может назначить переливание крови и медикаментозное лечение препаратами, разжижающими кровь (это позволяет предупредить тромбоз). Для предотвращения развития осложнений на вторые сутки после операции назначают антибиотики.
Боль возникает после установления искусственного сустава. Однако она является нормальным последствием операции. Как правило, болевой синдром купируют обезболивающими таблетками либо уколами. Некоторым пациентам ставят внутривенный катетер, через который вводится анальгетик. Длительность применения обезболивающих средств и дозировка медикаментов корректируется врачом.
В течение первых суток после эндопротезирования тазобедренного сустава больные находятся в лежачем положении. Чтобы избежать вывиха, не следует сгибать ногу с протезом больше, чем на 90 градусов. Во избежание травмирования пациентам подкладывают между нижних конечностей специальный валик. Кроме того, сразу после операции больному в лежачем положении рекомендуют отводить прооперированную ногу немного в сторону. Первое время реабилитации категорически воспрещается самостоятельно брать одеяло, лежащее в нижней части кровати.
Поздний период
После ранней реабилитации наступает более длительный поздний период восстановления пациента, который растягивается на несколько месяцев. В этом время следует постепенно увеличивать продолжительность ходьбы с опорой. При этом спину нужно держать прямо и смотреть перед собой. Ежедневный максимум – 30 минут ходьбы. Увеличивать допускается только скорость передвижения и дистанцию. В течение 2 месяцев после эндопротезирования тазобедренного сустава нельзя подниматься по лестнице выше, чем на 1 пролет.
Реабилитация дома после эндопротезирования тазобедренного сустава подразумевает полноценный отдых. Лежать лучше на спине, но если вам удобнее положение на боку – подкладывайте между колен мягкий валик или подушку. Спать стоит на жестком ортопедическом матрасе, высота кровати должна быть как минимум до колен. Одеваться во время реабилитации лучше сидя на стуле и при помощи близкого человека. Самостоятельно надевать носки или обуваться запрещено – это приводит к чрезмерному сгибанию тазобедренного сустава.
Период функционального восстановления
Реабилитация после протезирования тазобедренного сустава заканчивается спустя трехмесячный срок, однако функциональное восстановление ноги должно продолжаться. Если указанный срок прошел, а боль в ноге не проходит или возникает дискомфорт при ходьбе, стоит использовать трость. Невзирая на то, что человек уже может возвращаться к работе и водить машину, активно заниматься спортом разрешено лишь спустя 8-12 месяцев.
Срок реабилитации дома в некоторых может увеличиваться врачом. На это решение влияет возраст, анамнез пациента, системные патологии, сверхчувствительность к медикаментозным препаратам. Для ускорения восстановления после эндопротезирования тазобедренного сустава дома следует выполнять ЛФК, назначенную доктором. Кроме того, отлично помогает лечебный массаж и кинезотерапия. По возможности больному стоит хотя бы раз в год отдыхать в санатории или специализированном медицинском центре.
Плюсы и минусы
Как и у любого хирургического вмешательства, у эндопротезирования ТБС есть свои достоинства и недостатки. Благодаря инновационным технологиям операции все чаще проводятся малоинвазивными методами, с минимальным повреждением кожи и подлежащих мягких тканей. Послеоперационный шов после такого вмешательства небольшой. Он быстро заживает, не оставляя на коже шрамов и рубцов.
Но основной «плюс» эндопротезирования — устранение болей, отеков, ограничения подвижности, предшествующих полному обездвиживанию. После операции, выполненной малоинвазивным методом, восстановление пациента происходит значительно быстрее. Что можно отнести к недостаткам эндопротезирования:
- риск послеоперационных осложнений;
- длительный период реабилитации;
- необходимость замены эндопротеза через 10-15 лет.

Еще один «минус» — относительно высокая стоимость. После обращения в региональные органы пациент ставится в очередь для проведения бесплатного эндопротезирования. Но операция востребована, приходится долго ожидать вызова. Поэтому многие больные предпочитают оплатить установку искусственного сустава самостоятельно в клиниках России, Чехии, Израиля.
Подготовка к операции
Правильная подготовка к операции – важный компонент всего лечения, определяющий и конечный результат
Важно провести максимальное исследование функции жизненно важных органов, предупредить обострение хронических заболеваний, нормализовать вес и активизировать мышцы.
Подготовка к замене тазобедренного сустава должна быть начата за несколько недель до планируемой операции. Она включает:
- Общеклинические исследования (анализ крови, мочи, коагулограмма), флюорографию, УЗИ органов брюшной полости, ЭКГ (по показаниям);
- Рентгенографию пораженного сустава в разных проекциях;
- Консультации специалистов.
Все перечисленные исследования можно сделать в клинике, где планируется операция, но целесообразнее их провести амбулаторно в своей поликлинике и к врачу прийти с уже готовыми результатами, на основе которых будет выбран способ анестезии.
Важным моментом подготовки является получение разрешения на операцию со стороны терапевта. Многие пациенты, особенно пожилого возраста, страдают хронической патологией, которая может обостриться или служить противопоказанием к вмешательству. Перед эндопротезированием корректируется артериальное давление до стабильно нормальных цифр, уровень сахара крови у диабетиков, желательно снижение веса при ожирении. При наличии кариеса, он должен быть пролечен у стоматолога, поскольку являет собой очаг хронической инфекции.
На этапе восстановления важную роль играет состояние мышц, поэтому целесообразно начать тренировки еще на подготовительном этапе. Врач или инструктор ЛФК помогут освоить упражнения для укрепления мышц рук, туловища и ног.
Пациентам, перенесшим протезирование, придется передвигаться на костылях или с помощью ходунков, поэтому можно попробовать ими пользоваться заранее.
Курильщики должны по возможности расстаться с вредной привычкой, если не желают столкнуться с осложнениями со стороны легких, длительным заживлением раны.
В случае приема препаратов, разжижающих кровь, следует предупредить об этом хирурга и прекратить их прием, по меньшей мере, за неделю до операции. Кстати говоря, некоторые препараты на основе аспирина могут не отменяться (тромбо-асс, например), но такую рекомендацию должен давать только врач.
Когда все необходимые процедуры пройдены, и разрешение на операцию получено, пациент направляется в клинику, размещается в палате, с ним беседует анестезиолог о предпочтительном способе обезболивания, а хирург планирует ход предстоящего вмешательства. Больной заполняет анкету и дает согласие на операцию после беседы с врачом, который информирует о возможных осложнениях и рисках.
Накануне операции с семи часов вечера запрещается прием пищи, а с полуночи – и пищи, и воды
Это условие очень важно для обеспечения безопасной анестезии и предотвращения опасных побочных явлений (рвота, например). Следует принять душ и надеть чистую одежду, постараться выспаться и не волноваться, положившись на опыт и знания персонала.
Непосредственно перед операцией здоровую ногу забинтовывают эластичным бинтом для предупреждения тромбозов, а в мочевой пузырь вводится катетер, который будет удален на следующий день после эндопротезирования.
Симптоматика в таблице
| Синдром |
Симптомы |
|
Вывих (нарушение конгруэнтности) протеза |
|
|
Локальный инфекционный процесс |
|
|
Тромбоз и ТЭЛА (тромбоэмболия) |
|
|
Перипротезный перелом кости |
|
|
Невропатия малого берцового нерва |
|
Эндопротезирование и его виды
Эндопротезирование может быть:
- первичным, когда собственный сустав пациента впервые меняют на протез;
- вторичным, если имплантат не прижился и следует провести его замену;
- ревизионным, когда протез заменяется в связи с окончанием его срока службы.
Считается, что современные имплантаты способны служить от 15 до 20 лет. Если нагрузка на протез будет очень высокая, то уже через 10 лет может потребоваться замена. Полиэтилен и другие материалы, из которых создают протез, истираются при постоянном трении с костью человека. Восстанавливаться самостоятельно они в отличие от живых тканей организма не могут. Поэтому и требуется проходить повторное эндопротезирование.
Возможные осложнения
Осложнения после замены ТБС имплантатом возникают достаточно редко.
Иногда развивается инфекционный процесс с накоплением гнойного экссудата из-за проникновения в послеоперационную рану стрептококков, стафилококков, патогенных грибков, активизации герпесвирусов. Возможна закупорка тромбом кровеносного сосуда, нарушение кровообращения на определенном участке ноги. Для профилактики подобных осложнений пациентам при обработке швов используются антисептики, внутрь принимаются антибиотики и антикоагулянты.

Что делать после вынесения решения об операции
Если врач рекомендует проведение операции, больному нужно определиться, будет ли он претендовать на получение квоты. Если она нужна, то придется обращаться в региональные органы власти и ждать очереди.
В случае, когда замена тазобедренного сустава во Владимире осуществляется платно, проводятся следующие подготовительные работы:
- проверка пациента на отсутствие противопоказаний;
- разработка рекомендаций для успешного проведения хирургического вмешательства;
- определение сроков для предварительной сдачи крови и ее объемов;
- согласование сроков госпитализации;
- определение средств реабилитации, которые необходимо взять при поступлении в больницу;
- выбор и адаптация имплантата, который будет установлен;
- тестирование на восприимчивость к материалам, из которых установлен протез;
обсуждение и подбор вида наркоза с анестезиологом.
Если осуществляется прием препаратов на постоянной основе, необходимо сообщить об этом врачу. Может быть принято решение об их временной отмене. О склонности к аллергии ортопед и хирург также должны знать.
Если в процессе подготовки к операции что-либо из представленного списка не выполняется, следует обратиться в другую клинику. Нужно иметь в виду, что в Санкт-Петербурге или в других городах много медицинских центров, которые в удобном формате обслуживают клиентов, проживающих в других местах. Например, международная клиника Medem многие консультации проводит дистанционно. Сроки госпитализации минимальные, т. к. используются современные технологии и используются эффективные методы реабилитации. Это позволяет вернуться к работе и обычной жизни гораздо быстрее. Среди клиник Владимира, которые могут помочь с эндопротезированием, выделяют Областную больницу на Судогодском шоссе. Проверить показания к операции можно во Владимирском диагностическом центре на ул. Офицерской.
Меры предосторожности
Больные, которым была проведена замена тазобедренного сустава, должны в послеоперационный период (3-6 месяцев) соблюдать в быту ряд обязательных правил.
- Чтобы не допустить вывих сустава и другие нежелательные осложнения, необходимо строго соблюдать «правило прямого угла» — нельзя допускать сгибания в ТБС больше, чем на 90 градусов: нельзя скрещивать ноги; в положении сидя колени должны находиться ниже тазобедренных суставов; нельзя наклоняться вперед и сидеть на корточках; вставать следует при помощи опоры с прямой спиной.
Допустимый угол сгибания после протезирования
- Сидеть нужно с расставленными ногами — между стопами должно быть расстояние 15-20 см.
- При ходьбе по лестнице следует держаться за перила.
- Нельзя наклоняться — следует использовать специальный захват для одевания и подъема предметов с пола.
- Нельзя резко вставать.
- Спать лучше на спине с подушкой между ног.
- Обувайтесь с ложечкой, купите обувь без шнурков.
- Носите обувь без каблука на нескользкой подошве.
- Если возникнет необходимость в переноске тяжестей, отдайте предпочтение рюкзаку.
- При визитах к любому врачу информируйте, что у вас стоит эндопротез.
При повышении общей температуры, появлении боли, отека, покраснении кожи в области эндопротеза необходимо немедленно обратиться к врачу.
Особенности операции
Основные отличия повторного протезирования заключается в проведении:
- забора костной ткани пациента и ее установки в место для крепления протеза (это способствует надежности его фиксации);
- тщательной очистки фрагмента сустава под протез от чужеродных частиц (цемента или отломков кости);
- установки дренажа для обеспечения полноценного оттока содержимого из раны;
- сшивания (послойного);
- наложения асептической повязки.
Возможные осложнения
При проведении эндопротезирования не исключена возможность возникновения неблагоприятных последствий:
- попадание инфекции в поверхностные кожные покровы (воспалительный процесс, сопровождающийся болью, краснотой, отеком); при ее проявлениях предпринимаются меры по дополнительной дезинфекции, замене протеза, назначается соответственное медикаментозное лечение;
- смещение конструкции;
- ослабевание мышечного аппарата (приводит к слабости конечностей, различиям в их развитии, отличиям в размерах).
Послеоперационный период
После проведения хирургической операции следует провести следующие действия (они помогут больному восстановиться):
- обеспечить пациента кислородом (с помощью маски);
- регулярно вводить инъекции противовоспалительных, обезболивающих средств, антибиотиков;
- делать специальные дыхательные упражнения;
- осуществлять контроль за жизненно важными показателями;
- в период реабилитации нужно регулярно посещать хирурга для осмотров, соблюдать рекомендации, касающиеся распределения двигательных нагрузок;
- выполнять разработанный врачом комплекс движений, предусмотренных лечебной физкультурой (дважды в день).
Наш большой канал о покупках на AliExpress
Кому могут делать операцию по замене сустава
Пациенты обращаются к ортопедам с невыносимой болью в суставах по разным причинам. Прежде чем назначить эндопротезирование, врач будет пытаться медикаментозно улучшить состояние пациента. Ведь собственные ткани имеют высокую ценность для качества жизни человека. Если подобное воздействие не приводит к улучшениям, то речь может идти о замене сустава. При этом должен быть поставлен один из следующих диагнозов:
- онкологическое поражение тканей суставов;
- артроз;
- перелом шейки бедра;
- некроз бедренной кости;
- болезнь Бехтерева;
- коксартроз и др.
Возраст пациента принимается во внимание. Показана такая операция и пожилым, и молодым людям
Если нет других противопоказаний, замена тазобедренного сустава во Владимире любому пациенту.
Планирование реабилитационных мероприятий
Реабилитационный период после эндопротезирования длится около года. Условно он делится на 3 периода:
Ранний период: с первого дня после операции до 3 послеоперационных недель. Его условно делят на 2 двигательных режима:
- Щадящий: 1-7 сутки послеоперационного периода. В это время происходит вызванное операцией воспаление раны;
- Тонизирующий: 7-15 сутки. В это время заживает послеоперационная рана.
Их оба полностью курирует врач восстановительной медицины.
Поздний период. Проводится вначале в условиях кабинета ЛФК поликлиники по месту жительства, куда человек должен обратиться сразу после выписки из стационара. Далее комплекс упражнений продолжают выполнять дома. Оптимально, если родственники оперированного будут помогать выполнять разработку сустава, поощрять его и не давать ему пропускать занятия.
Делится на 2 двигательных режима: 1) раннего восстановления: 15-60 сутки, когда происходит «утилизация» костных структур; 2) позднего восстановления: с 45-60 до 90 суток, когда восстанавливается внутренняя структура бедренной кости.
Отдаленный период: 3-6 месяцы, когда бедренная кость принимает свою окончательную форму и структуру. Его целесообразно проводить в специализированных санаториях или лечебницах.
Программу индивидуальных занятий составляет или врач-реабилитолог, или врач ЛФК стационара, где проводилась операция. Перед тем, как разработать комплекс упражнений, они должны ознакомиться с историей болезни, где описаны нюансы проведения операции, поговорить с больным, узнать о его состоянии здоровья и перенесенных заболеваниях. Также врач восстановительной медицины должен посмотреть на объем движений в оперированной конечности и переносимость физических нагрузок.
Виды и стоимость протезов
Стоимость искусственного тазобедренного сустава обусловлена особенностями его конструкции, качеством использованных при изготовлении материалов. На цену влияет и репутация производителя. Известные бренды занимаются выпуском только ортопедических изделий, предназначенных для эндопротезирования, а также применяемых в процессе реабилитации. Главное отличие искусственных суставов — пара трения, или части имплантата, которыми заменяются вертлужная впадина и головка бедренной кости. Какие материалы используются при их производстве:
- металл-полиэтилен. Вариант экономный, но отмечается быстрое изнашивание металлической головки;
- металл-металл. Эта ранее часто применяемая во время эндопротезирования недорогая пара трения становится менее востребованной из-за довольно высокого риска развития послеоперационных осложнений;
- керамика-керамика. Один из самых дорогих вариантов протеза с минимальным трением и крайне низким риском послеоперационных осложнений;
- керамика-полиэтилен. Стоимость имплантата относительно невысока, сочетается с низким трением, хорошей износоустойчивостью.

| Производитель искусственных тазобедренных суставов | Стоимость эндопротезов |
| Zimmer | Цена однополюсного титанового протеза — от 75 тысяч рублей. Биполярный искусственный имплантат для тотального эндопротезирования стоит от 120 тысяч рублей. А пара трения керамика–керамика обойдется пациенту в 200 тысяч рублей |
| Johnson-Johnson | Стоимость эндопротеза для тотальной замены тазобедренного сочленения — от 150 тысяч рублей и выше |
| Biomet | Цена биполярного импланта — 140-150 тысяч рублей, а пара трения керамика-керамика стоит около 300 тысяч рублей |
| Stryker | Стоимость эндопротезов международной корпорации Stryker лишь немного ниже продукции Johnson-Johnson (примерно на 10 %) |
| Производители из Тайваня и Китая | Цена эндопротезов тайваньского и китайского производства в 1,5-2 раза ниже, чем у американских и европейских изделий |

Что делать после эндопротезирования
Установка протеза – лишь начал в деле возвращения к обычной жизни. Реабилитация гораздо важнее операции. Именно поэтому лучше выбрать больницу, где есть врачи-реабилитологи, которые:
- составят программу индивидуальных упражнений;
- проследят за правильностью и качеством выполнения упражнений;
- помогут освоить хождение на костылях;
- своевременно заменят упражнения, если они не дают нужного результата конкретному пациенту.
Дополнительно следует предусмотреть важные для восстановления моменты:
- одежда и обувь должны быть удобными. Иногда на время операции и восстановления приобретают одежду на размер больше, чтобы удобнее было с ней справляться самостоятельно;
- в доме должны появиться предметы, позволяющие оказывать минимальную нагрузку на сустав: специальные кресла, сиденья-накладки на туалет, ванну и т. д.;
постоянно необходимо следить за правильной постановкой ног, перемещением, стараться держаться за оборудованные поручни при ходьбе.
После замены сустава нельзя долго находиться в кровати. С первых же дней врачи будут постепенно увеличивать нагрузку на сустав. Чем быстрее будут работать мышцы рядом с протезом, тем успешнее пройдет адаптация организма к нему. Нужно помнить, что технологии, которые применяют врачи, позволяют гарантировать, что отторжение протеза маловероятно. Установлено по результатам проведенных операций в последние десятилетия, что риск существует в 5% случаев.
Для того чтобы настроиться на эндопротезирование, некоторые пациенты обращаются к психологам. Ведь страх перед подобной операцией у многих силен. Не всегда во Владимире есть возможность получить комплексное решение проблемы по эндопротезированию и восстановлению после него. По этой причине все чаще местные жители и население соседних городов обращаются в клиники, расположенные в федеральных центрах. Тем более, что сроки, которые они могут предложить, обычно гораздо короче. Это также повышает привлекательность сотрудничества с ними. Уровень квалификации там тоже выше. Это следует учитывать при определении места лечения и реабилитации.











