Каковы риски и осложнения?
Несложно понять — если при такой патологии, как артроз тазобедренного сустава симптомы и лечение определены неправильно, несвоевременно, это грозит инвалидностью. Мучительный болевой синдром, невозможность ходить, потребность в постоянном уходе – вот, что ждет человека без лечения данного заболевания.
Инвалидность при поражении костей бедра устанавливается согласно степени тяжести болезни, при полном отсутствии возможности работать дают первую группу. Таким больным показана операция – это единственный эффективный метод лечения в такой ситуации. Но даже современные методы операций могут нести риск осложнений:
- Инфекционное заражение;
- Тромбоз, эмболия тромба;
- Значимая кровопотеря.
Общая доля осложнений невелика – 0,5-2%, но они имеют место. Чаще всего наблюдается инфицирование протеза, который затем приходится менять на новый
Именно поэтому после операции важно проводить курс лечения антибиотиками
Факторы риска
Есть некоторые факторы риска, которые приводят к появлению заболевания. Предрасполагающими событиями перед возникновением болезни являются следующие:
- Гипотериоз. Эта болезнь объясняется понижением концентрации гормонов щитовидной железы в крови. Это приводит к ожирению пациента, у него нарушается нервная система, и купируется обмен веществ.
- Сахарный диабет. Эта болезнь характеризуется возникновением поражения стенок кровеносных сосудов. Это приводит к наружному кровоснабжению элементов костей.
- Избыточный вес тела. Люди с таким дефектом расположены к возникновению коксартроза, потому что нагрузка на кости увеличена.
- Предрасположенность по генетике. Это связано с родственными болезнями хрящевой или костной ткани, а также с некоторыми формами неправильного развития плода. Наличие генетики по болезни не значит, что малыш заболеет коксартрозом, но вероятность появления болезни у него почти 50%.
Первые признаки бывают скудные и незаметные. Обычно сначала возникает слабость в суставах. Они могут немного припухнуть, но отечности при этом не имеется. Заболевание обнаруживается следующими признаками:
- Мышечные боли.
- «Похрустывание» костей.
- Хромота.
- Неподвижность суставов.

Распространенные заболевания тазобедренных суставов у женщин и мужчин
Большинство перечисленных заболевания встречается у мужчин и женщин, некоторые могут появиться и в детском возрасте.
Наиболее частая болезнь, которая поражает тазобедренный сустав у взрослого человека – это коксартроз. Существуют и другие артрозы, но и этот встречается чаще. Его причиной зачастую является врожденный бедренный подвывих, процесс дегенерации может усугубляться разными факторами, в частности, несвоевременным лечением;
Остеонекроз – заболевание вторичного ряда, которое развивается на фоне патологий. Его причины следующие:
- анемия;
- болезнь Гоше;
- склеродермия;
- красная волчанка;
- кессонская болезнь;
- перелом шейки бедра;
- деформация сустава;
- употребление стероидов;
- частные процедуры гемодиализа.
Другое заболевание тазобедренного сустава носит воспалительный характер – это бурсит. Он чаще встречается у женщин в возрасте 30-60 лет. Его течение острое, боли появляются внезапно, могут отдавать в лонное сочленение или седалищную кость. Из-за паховых болей сустав теряет свою подвижность, больной страдает при попытке разогнуть ногу. Хроническая стадия заболевания предусматривает сокращение болей.
Достаточно часто встречаются артриты тазобедренного сустава, симптомом которых является воспаление. Они подразделяются на следующие категории:
- реактивные;
- ревматоидные;
- инфекционные;
- подагрические;
- псориатические.
В каждом случае симптомы и лечение отличаются.
Боли в тазобедренном суставе могут возникнуть из-за врожденных аномалий – вывиха бедра или же дисплазии. Эти заболевания могут проявиться уже в раннем детстве, их можно диагностировать уже в возрасте месяца. Ортопед замечает их по асимметричности складок в области ягодиц и бедер, а также если малышу трудно разводить ножки.
Если это не диагностировать своевременно по данным симптомам, то ребенок начинает отставать от ровесников в плане психомоторики и физического развития:
- поздно садится;
- начинает ходить позже других детей;
- ножка со стороны больного сустава становится короче;
- приобретается «утиная» походка, когда нога переваливается на другую.
При своевременном выявлении заболевания, лечение включает в себя массаж, гимнастику, затем ножки ребенка фиксируют в «лягушачьей позе» посредством гипса или специальных приспособлений для фиксации. Если же дисплазия или бедренный вывих обнаруживаются поздно, то их лечение заключается в оперативном вмешательстве.
Заболевания тазобедренных суставов могут иметь и онкологический характер. Так, раковая опухоль может изначально появиться в суставе или же разрастить там вследствие метастазов.
Симптомы рака сустава такие:
- мучительные постоянные боли;
- тошнота, истощение, потеря аппетита.
Стоит отметить, что первичная раковая опухоль в тазобедренном суставе – это редкость, а вот метастазы могут и появиться на фоне рака матки или толстого кишечника.
Боли тазобедренного сустава у женщин на фоне беременности
Часто женщины по поздних сроках беременности страдают от боли в области тазобедренного сустава. Это происходит по таким причинам:
- масса тела сильно увеличивается, и увеличивается нагрузка на опорно-двигательный аппарат в целом, а боли являются сопутствующим синдромом;
- нехватка кальция и витамина Д;
- боли могут быть симптомом остеомаляции у беременных. У женщин в данном случае могут быть частые переломы, а двигательная деятельность ограничивается;
- развитие симфизита, что может также сопровождаться болями в области бедра.
Какое строение у тазобедренного сустава
Многие годы пытаетесь вылечить СУСТАВЫ?
Глава Института лечения суставов: «Вы будете поражены, насколько просто можно вылечить суставы принимая каждый день средство за 147 рублей…
Тазобедренный сустав – это шаровидный сустав, сформированный вертлужной впадиной и головкой кости бедра.Рассмотрим строение важного сустава и основные составляющие:
- Головка кости бедра имеет округлую форму и покрыта хрящевой тканью. Фиксируется при помощи шейки.
- Вертлужная впадина создается с помощью трех сросшихся костей. Изнутри находится хрящевая выстилка в форме полумесяца.
- Вертлужная губа представляет собой хрящевой бордюр для вертлужной впадины.
- Капсула сустава – это мешок из соединительной ткани, охватывающий головку, шейку и вертлужную впадину.
- Связки укрепляют капсулу снаружи. Их всего три.
- В полости сустава располагаются связки головки бедра.
- Суставные сумки представляют собой емкости с жидкостью. Они располагаются под сухожилиями.
- Мышцы, фиксирующие элементы. Они способствуют перемещению бедра и укреплению сустава.
Итак, топографическая анатомия включает не только связки и мышцы.
Кровоток и иннервация сустава предполагает участие таких артерий:
- Артерия,огибающая бедро, восходящая ветвь.
- Артерия круглой связки.
- Глубокая ветвь медиальной артерии.
- Оба типа ягодичных артерий.
Характеристика кровеносной системы важна для полноценного изучения строения суставов. Как проходят сосуды можно видеть на фото.
С возрастом питание по сосудам уменьшается.

УЗИ тазобедренных суставов: результат диагностирования
Процедура ультразвукового исследования бедренных суставов проводится без какой-либо подготовки и длится около 20-30 минут. Методика диагностики стандартна и подразумевает поэтапное изучение сустава и околосуставных тканей в реальном времени в четырех положениях (переднем, медиальном, латеральном и заднем). После обследования на руки выдается заключение с фотоснимками. Полученные результаты интерпретирует лечащий врач с учетом анамнеза пациента, результатов анализов и жалоб
Если исследование проводится повторно для сравнения результатов важно показать врачу предыдущее заключение.
В заключении УЗИ тазобедренного сустава отмечают:
-
Характер износа суставного хряща — имеет ли хрящевая ткань гладкую и ровную поверхность;
-
Скопление патологической жидкости — есть ли выпот в полости сустава;
-
Однородна ли синовиальная жидкость;
-
Есть ли жидкость в заворотах сустава.
Во время исследования врач изучает сустав и мягкие ткани на наличие новообразований, гематом, абсцессов, паховых и бедренных грыж.
Методы диагностики
Сначала врач осматривает пациента и проводит диагностические тесты. На основе клинических симптомов он может поставить предварительный диагноз. Однако для его подтверждения необходимы дополнительные методы исследования.

Тест Нира
Суть теста заключается в субакромиальном введении местного анестетика (Новокаин, Лидокаин). Манипуляцию выполняют с соблюдением всех правил асептики. Исчезновение болей после инъекции косвенно указывает на импиджмент-синдром.

УЗИ
Ультразвуковое исследование позволяет выявить ассоциированные с импиджментом изменения в мягких тканях. Это характерное для бурсита утолщение стенок суставной сумки и скопление в ее полости выпота. У многих больных обнаруживают патологические изменения сухожилий. На УЗИ они проявляются их повышенной эхогенностью и утолщением.

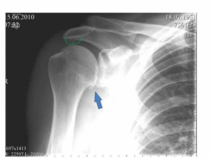
Рентгенография
Необходима для визуализации костных структур плечевого сустава. С помощью рентгенологического исследования врачи оценивают состояние клювовидно-акромиальной связки, акромиально-ключичного сустава и плечелопаточного соединения. При импиджменте специалисты выявляют децентрацию головки плечевой кости, патологические изменения большого бугорка, оссификацию связок и признаки артроза плечевого сустава.
Таблица 2. Диагностически значимые показатели при импиджменте
| Форма акромиона | Акромиальный отросток лопатки может иметь плоскую, изогнутую или крючкообразную форму. Особенности строения акромиона в значительной мере определяет вероятность развития импиджмент-синдрома |
| Критический угол плеча (CSA) | Характеризуется наклоном плечевого сустава и степенью его покрытия акромиальным отростком. Вероятность развития импиджмента повышается при угле более 35 градусов |
| Акромогумеральный индекс (AI) | Высчитывается по формуле AI = GA/GH, где GA – расстояние от поверхности акромиальной впадины до латеральной поверхности акромиона, а GH – расстояние до латеральной поверхности головки плеча. Импиджмент-синдром чаще всего развивается у лиц с высоким акромогумеральным индексом |
МРТ

Магнитно-резонансная томография позволяет оценить состояние всех мягких тканей плечевого сустава (вращательной манжеты, мышц, суставной капсулы и сумки). Естественно, это дает врачу необходимые для постановки диагноза сведения. Чувствительность МРТ при плечевом импиджменте — довольно высокая (92-93%), однако из-за высокой цены этот метод используют редко.
Чем отличается УЗИ от рентгена
Главное отличие методик заключается в характере излучения, которое используется для формирования изображения на экране монитора, фотопленке или бумаге.
Рентгеновская медицинская визуализация базируется на способности костей, мягких тканей, полых и паренхиматозных органов по-разному поглощать ионизирующее излучение. Мягкие ткани пропускают рентгеновские лучи, вызывая легкое отклонение, а кости и хрящи полностью их поглощают. Снимки органов на рентгене представляют собой черно-белое изображение из-за разности поглощения радиации биологическими тканями. Врач может легко поставить диагноз по полученным рентгенограммам.
Для УЗИ используют звуковые волны высокой частоты (1-22 МГц), в чем и разница с предыдущим методом. Эти звуки не воспринимаются человеческим ухом. Они преобразуются в лучи и применяются для изучения тела. Живые ткани по-разному проводят ультразвук: одни полностью отражают, другие рассеивают. Отраженные эхосигналы улавливаются датчиком, усиливаются, и на экране аппарата формируется сбалансированное изображение.
Какие бывают показания и противопоказания у каждого метода
Выбор метода диагностики зависит от лечащего врача. При правильном назначении оба способа медицинской визуализации несут минимальный риск для здоровья пациента.
Рентгенографию назначают для исследования костно-мышечной системы при травмах и хирургических вмешательствах, также в пульмонологии и гастроэнтерологии. УЗИ отдают предпочтение при обследовании органов брюшной полости, щитовидной и молочных желез, сердечно-сосудистой системы, в акушерстве и гинекологии.
Ультразвуковое сканирование представляет собой безопасный и доступный метод исследования в любом возрасте и при всех заболеваниях. За 40 лет были обследованы миллионы людей, в том числе беременные женщины, и не было ни одного побочного явления.
Как проводятся процедуры и что показывают
Рентгенография проводится в специально оборудованном помещении. Для защиты пациента от излишнего облучения используются фартуки, шапочки из освинцованной резины. Длительность процедуры зависит от типа обследования и в среднем составляет до 10 минут.
Ультразвуковое сканирование не требует подготовки и может проводиться непосредственно у постели пациента. На ультразвуковой датчик и кожу в месте исследования наносят гель, который повышает проводимость звуковых волн.
Преимущества и недостатки каждого метода
Главное преимущество рентгенографии заключается в четких протоколах исследования, что сводит к минимуму человеческий фактор. К недостаткам – радиационное облучение и громоздкость технологии.
К положительным сторонам ультразвукового сканирования относят безопасность, возможность многократного изучения состояния пациента за короткий промежуток времени, обследование практические всех органов и систем. Недостаток – точность диагностики зависит от мастерства врача УЗИ.
Сравниваем цены
По стоимости ультразвуковое исследование и рентгеновский снимок равнозначны. Несмотря на это, рентген-оборудование стоит дороже и оказывается затратнее в техническом обслуживании, чем ультразвуковой сканер.
Однако рентгенология активно поддерживается целевыми государственными программами, и пройти исследование можно в любой районной поликлинике. Услуги по ультразвуковому исследованию предлагают частные центры, где нередко завышают цены.

